Turismo Dental
Turismo Dental
Nuestro equipo está listo para recibirte y hacer realidad la sonrisa de tus sueños.
Coordinamos contigo todo lo que necesitas para que tu visita sea perfecta y disfrutes al máximo de tu estadía en la hermosa y acogedora ciudad de Cali.
Dr. Rico
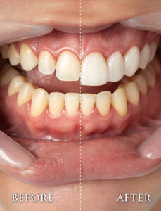
Con más de 𝟐𝟓 𝐚𝐧̃𝐨𝐬 de experiencia en rehabilitación oral y estética dental, ha tenido el privilegio de transformar más de 𝟐,𝟎𝟎𝟎 𝐬𝐨𝐧𝐫𝐢𝐬𝐚𝐬 y, lo que es aún más gratificante, vidas. Su enfoque único combina la funcionalidad con la estética, no solo para crear sonrisas hermosas, sino también para mejorar la calidad de vida de sus pacientes.





Contáctanos
No dudes en comunicarte. Simplemente complete el formulario de contacto aquí y nos aseguraremos de responderle lo más rápido posible.
Visita nuestro consultorio
📍 CALI-COLOMBIA
Calle 6 # 73-30. Edificio Amalfi , local 22
Llámanos
📲+57 316 2992611
